Laguna Hills Cosmetic Dentistry
Giving You Your Best Smile
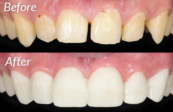
At Saddleback Dentistry, our Laguna Hills cosmetic dentistry services are designed to enhance your natural smile and boost your confidence. From professional teeth whitening and porcelain veneers to clear aligners and smile makeovers, we use advanced techniques to deliver stunning, lasting results tailored to you.


Confidence Starts with a Stunning Smile
Beautiful smiles are the secret to great confidence and a memorable first impression. Whether you want whiter teeth, straighter teeth, or a complete smile makeover, our doctors can help you. Both Dr. Garcia and Dr. Conkle are experts in cosmetic dentistry with many years of experience and training. They use a variety of treatments to help you smile more confidently.
Here are some of the smile issues we can fix:
- Discolored, yellowed or stained teeth.
- Teeth that are too short or worn down, or have uneven lengths.
- Gaps.
- Crowding, crooked or rotated teeth.
- Chipped, cracked or pitted teeth.
- Misshapen teeth.
Your first step is consultation with Dr. Conkle or Dr. Garcia. They’ll give you your best cosmetic dentistry options to achieve your ideal smile.
Call us at (949) 455-1400 today or book an online appointment.
Smile Wide with Our Tailored Cosmetic Dentistry Treatment
A smile makeover can be as simple as teeth whitening and fixing some gaps; or we can give you a life-transforming makeover with procedures such as porcelain veneers and clear aligner teeth straightening. We use a wide range of cosmetic dentistry treatments to fix your smile, including:
- Teeth Whitening.
- Porcelain Veneers.
- Cosmetic Bonding.
- Gum Recession Treatment.
- Gum Recontouring for gummy smiles or uneven gum lines.
- Invisalign® and other clear aligner solutions.
- Dental Implants for missing teeth.

Porcelain Veneers
With porcelain veneers we can create a straighter, whiter and more harmonious smile in just a couple of visits. Veneers can close gaps, reshape and whiten teeth and cover chips and misaligned teeth.

Cosmetic Bonding
Cosmetic bonding uses tooth-colored composite material to repair chips and cracks, close gaps, reshape teeth and cover discoloration and exposed roots. It is an economical smile makeover fix that can be done in just one visit.

Clear Aligner Teeth Straightening
We use Invisalign® and other clear aligner systems to straighten your teeth in as little as 6 months. We also provide traditional orthodontics.

Teeth Whitening
Whiten your teeth by many shades with our professional teeth whitening systems. We use Pola and Zoom! teeth whitening systems, which are effective, gentle and safe.

Find Out How We Can Help You Smile More Confidently
Get ready for smiles at Saddleback Dentistry! Your first visit includes:
- Digital x-rays and panoramic X-rays
- Full oral exam
- Consultation about your goals for your smile with Dr. Conkle or Dr. Garcia. doctor
We love building relationships and getting to know you. Our Laguna Hills dentists, who are experts in cosmetic dentistry, and team are here to ensure your initial experience is as comfortable and informative as can be.
Where Comfort Meets Care
Your comfort is our top priority. Immerse yourself in our relaxing atmosphere. When you visit us, you’ll get to enjoy:
- Beautiful fish tank
- Refreshing sparkling water
- Aromatic coffee
- Cozy blankets
- Neck pillows
- TV with Netflix
- Soothing background music
Dental anxiety? Don’t worry!
We offer sedation options for your comfort. Choose your relaxation level with Nitrous Oxide, Oral Sedation, or IV Sedation for a serene dentistry experience during procedures.
Easy payments for your smile
We make paying for your oral health easy with patient financing options. Our flexible plans let you spread the cost conveniently with monthly payments.
Have questions? Call us at (949) 455-1400, and we’ll gladly help you.

Our Patients Love Us!
I really appreciate the professionalism of the team. They’re best for everything, such as reminders that you won’t miss an appointment. – Masoud V.
I love Saddleback Dentistry! I’ve been going here for over 20 years, and Dr Garcia and my hygienist never disappoint me! Now, my friends and family are coming here! – Noel T.
